Spinal Conditions: Arm Pain and Myelopathy
There are lots of different causes of arm pain. The two main spinal conditions giving rise to upper limb symptoms are cervical radiculopathy and cervical myelopathy. Following a description of these conditions, several other causes of arm pain will be explained.
Cervical Radiculopathy
Cervical radiculopathy specifically refers to the compression or irritation of a nerve root in the cervical spine. This can occur due to a herniated disc, degenerative changes in the spine, or other factors. The symptoms and signs of cervical radiculopathy include: pain in the neck, shoulder, or arm; numbness or tingling in the arm or hand; weakness in the arm or hand; difficulty with fine motor skills, such as buttoning a shirt or writing; and loss of reflexes in the affected arm.
Cervical Myelopathy
Cervical myelopathy involves compression or damage to the spinal cord in the cervical spine. This can be caused by a variety of factors, including degenerative changes in the spine, spinal stenosis (narrowing of the spinal canal), or spinal cord injury. The symptoms of cervical myelopathy include: tingling, numbness, or weakness in the arms, hands, or legs; difficulty with fine motor skills, such as buttoning a shirt or writing; difficulty with balance or coordination; loss of bladder or bowel control (in severe cases); pain or stiffness in the neck or back; and increased reflexes.
Diagnosis and Investigations
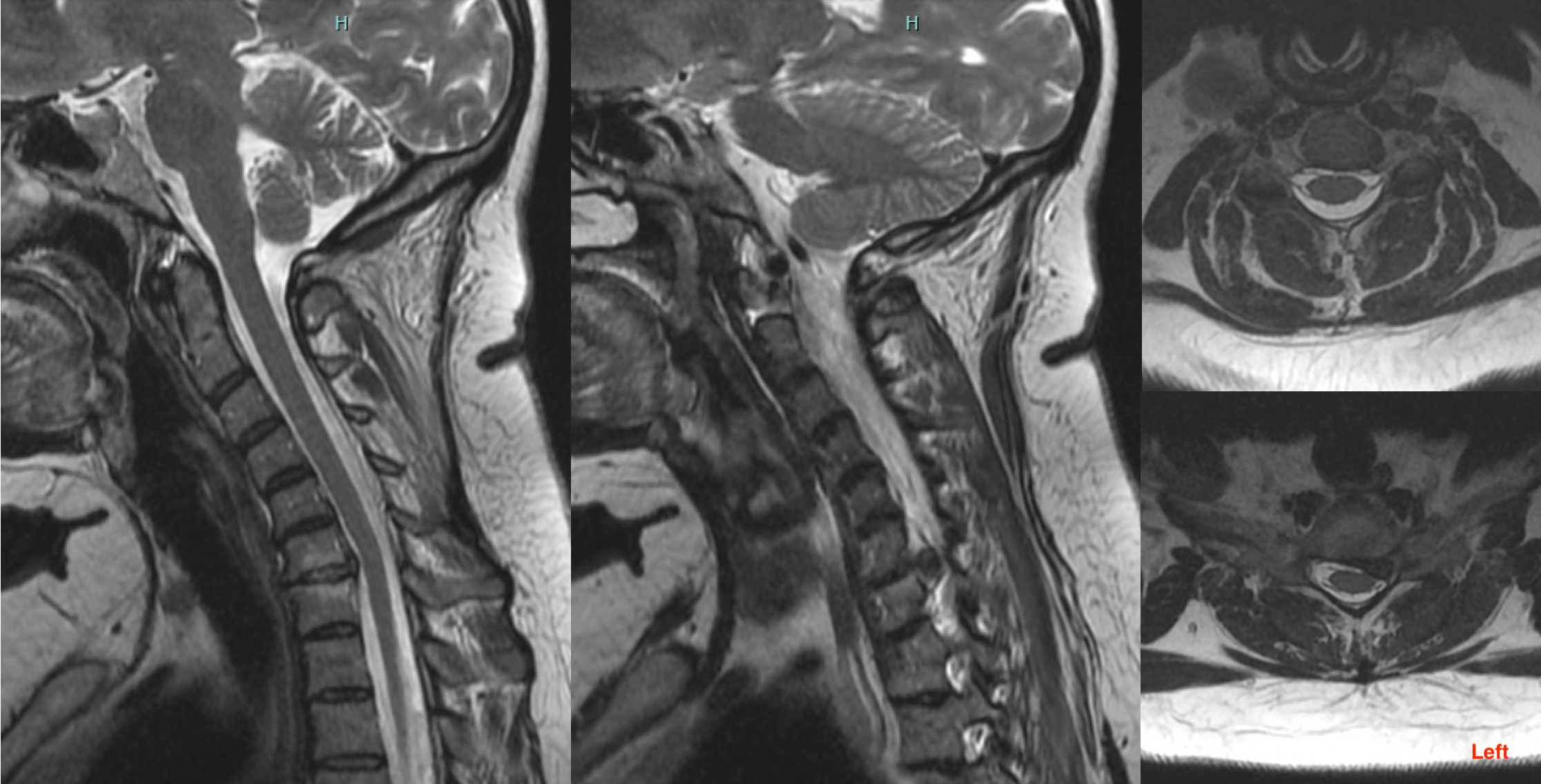
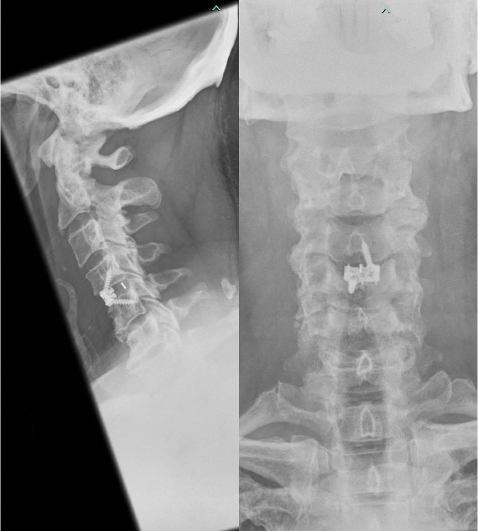
The diagnosis of cervical radiculopathy and myelopathy is usually made clinically based on history and examination. It is then confirmed with radiological imaging tests most notably an MRI scan. Other imaging tests, such as X-ray and CT are sometimes appropriate. Occasionally, electromyography (EMG) or nerve conduction study (NCS) are required.
Treatment
The treatment for cervical radiculopathy and myelopathy depends on the underlying cause of the condition, the severity of symptoms and patient factors. In some cases, conservative treatments may be effective, such as rest, physical therapy, and pain medication. If conservative treatments are not effective, more invasive treatments, such as spinal injections or surgery may be required. Cervical radiculopathy can improve with time. However, cervical myelopathy tends to progress and is regarded as a surgical condition (i.e. one that will require surgery). Surgery is usually indicated for severe or worsening symptoms, such as severe uncontrollable pain, weakness or numbness in the arms or legs, difficulty walking, or loss of bladder or bowel control. Surgery for cervical radiculopathy is generally indicated to improve arm pain whereas surgery for cervical myelopathy is to prevent further deterioration.
Further Information on Cervcial Radiculopathy and Myelopathy
Patient information from the North American Spine Society
Other Causes of Arm Pain
Upper Limb Fracture
A fracture in the upper limb refers to a break in any of the bones of the arm, ranging from the collarbone (clavicle) and shoulder blade (scapula) down to the fingers. These fractures can result from a variety of causes, including falls, direct blows, or accidents. Symptoms often include pain, swelling, bruising, and a limited range of motion. Depending on the location and severity of the fracture, treatment can range from a simple sling or cast to surgical intervention.
Acromioclavicular Joint Pain
The acromioclavicular (AC) joint is where the collarbone (clavicle) meets the highest point of the shoulder blade (acromion). AC joint pain can arise from various causes, including direct trauma, wear and tear over time, or repetitive overhead movements. One of the most common injuries to this joint is an AC joint sprain or separation, which occurs when the ligaments holding the joint together are damaged. Symptoms include pain at the top of the shoulder, swelling, tenderness, and sometimes a visible bump above the shoulder. Treatment often involves rest, ice, and pain-relieving medications. In severe cases or if conservative treatments fail, physical therapy or surgery might be required.
Subacromial Bursitis
Subacromial bursitis is an inflammation of the bursa, a small fluid-filled sac, located beneath the acromion (the bony point of the shoulder). This bursa acts as a cushion and reduces friction between the tendons of the rotator cuff and the acromion. Subacromial bursitis can be caused by repetitive overhead activities, injuries, or as a result of other conditions like rotator cuff tendinitis. Symptoms include pain when lifting the arm, tenderness on the top of the shoulder, and swelling. Treatment typically involves rest, ice, anti-inflammatory medications, and sometimes physical therapy. If conservative treatments don't work, a corticosteroid injection may be recommended.
Subacromial / Shoulder Impingement
Subacromial or shoulder impingement is a condition where the tendons of the rotator cuff become compressed or "pinched" between the head of the humerus (upper arm bone) and the acromion (the bony point of the shoulder). This compression can be due to various factors, including repetitive overhead activities, bone spurs, or inflammation of the bursa or tendons. Symptoms of shoulder impingement include: pain when lifting the arm or lying on the affected side; weakness in the shoulder; and a catching or grinding sensation when moving the arm. Treatment often begins with conservative measures such as rest, ice, anti-inflammatory medications, and physical therapy focused on strengthening the shoulder and improving range of motion. If these treatments are ineffective, corticosteroid injections or surgical intervention might be considered.
Rotator Cuff Tear
The rotator cuff is a group of four tendons and muscles that surround the shoulder joint, providing stability and allowing for a wide range of shoulder movements. A rotator cuff tear occurs when one or more of these tendons become torn, either partially or completely. This can result from an acute injury, such as a fall, or from chronic wear and tear, often due to repetitive overhead activities or aging. Symptoms of a rotator cuff tear include: persistent pain, especially at night; weakness in the shoulder; difficulty lifting the arm or performing overhead activities; and a snapping or cracking sound when moving the shoulder. Initial treatment typically involves rest, ice, pain-relieving medications, and physical therapy to strengthen the shoulder and restore movement. In cases of severe or complete tears, or when conservative treatments don't bring relief, surgical intervention may be recommended to repair the torn tendon(s).
Shoulder Arthritis
Shoulder arthritis refers to the degeneration or wear-and-tear of the cartilage in the shoulder joint, which allows the bones to glide smoothly against each other. As the cartilage wears away, the bones may rub against each other, leading to pain and stiffness. There are several types of shoulder arthritis, with osteoarthritis being the most common. Other types include rheumatoid arthritis (an autoimmune condition) and post-traumatic arthritis, which develops after an injury to the shoulder. Symptoms of shoulder arthritis include: persistent shoulder pain that may worsen with activity; stiffness in the joint; limiting the range of motion; swelling and tenderness around the shoulder; and a grinding or clicking sensation when moving the shoulder. Treatment for shoulder arthritis aims to relieve pain and restore function. This can include: physical therapy to strengthen the muscles around the joint; pain-relieving and anti-inflammatory medications; application of heat or cold to the affected area; and corticosteroid injections to reduce inflammation. In advanced cases, when conservative treatments don't offer relief, surgical options such as shoulder joint replacement might be considered.
Frozen Shoulder
Frozen shoulder, medically known as adhesive capsulitis, is a condition characterized by pain and a progressive loss of range of motion in the shoulder joint. The exact cause is often unclear, but it can arise after periods of immobilization, surgery, injury, or certain medical conditions like diabetes. The condition typically evolves in three stages: (1) Freezing Stage: Gradual onset of shoulder pain that worsens over time and restricts shoulder movement.(2) Frozen Stage: Pain may begin to diminish, but the shoulder becomes stiffer, and its use becomes more difficult. (3) Thawing Stage: The range of motion begins to improve. Symptoms include: persistent pain in the shoulder; stiffness, leading to reduced shoulder movement; and difficulty with daily activities, like dressing or reaching overhead. Treatment often involves: pain-relieving and anti-inflammatory medications; physical therapy to improve range of motion and strength; and corticosteroid injections to reduce inflammation. In cases where conservative treatments don't bring significant relief, more invasive procedures, like shoulder manipulation under anaesthesia or arthroscopic surgery, might be considered. Recovery can be slow, often taking months to years, but most people regain full shoulder function with appropriate treatment.
Shoulder Instability / Subluxation / Dislocation
The shoulder joint is the most mobile joint in the body, which also makes it susceptible to instability and injuries like subluxations and dislocations. Shoulder Instability: This is a condition where the head of the upper arm bone (humerus) is not held firmly within the socket, leading to increased mobility that can be uncomfortable or even painful. It might be a result of an injury or can develop over time due to repetitive strain. Shoulder Subluxation: This refers to a partial dislocation where the humerus temporarily comes partially out of the socket. It may pop back in by itself or might need assistance. Shoulder Dislocation: This is a more severe form where the humerus completely comes out of the socket. It's often caused by trauma, like a fall or direct blow, and is very painful. The shoulder will appear deformed, and immediate medical attention is required. Symptoms across these conditions can include: pain and discomfort in the shoulder; a feeling that the shoulder is loose or slips in and out of place; visible deformity in the case of a dislocation; swelling and bruising. Treatment varies based on the severity: immobilization using a sling or brace, pain-relieving and anti-inflammatory medications, physical therapy to strengthen the shoulder muscles and improve stability. In recurrent or severe cases, surgery might be recommended to repair torn or stretched ligaments.
Brachial Plexus Injury
The brachial plexus is a complex network of nerves that originate from the neck's spinal cord and branch out to control the muscles and sensation in the shoulder, arm, and hand. A brachial plexus injury involves damage to these nerves and can result from a variety of causes, including trauma, childbirth, or tumors. The severity and type of injury can vary: Neuropraxia: The mildest form, where the nerve is stretched but not torn. It often recovers on its own. Rupture: The nerve is torn, but not at the spinal cord. Avulsion: The most severe type, where the nerve is torn from the spinal cord. Symptoms of a brachial plexus injury include: weakness or inability to use certain muscles in the hand, arm, or shoulder; complete lack of movement and sensation in the arm, including the shoulder and hand; severe pain; tingling or numbness in the arm. Treatment depends on the type and severity of the injury: mild injuries might heal on their own, but physical therapy can help maintain muscle function; pain medications and therapies can help manage discomfort. Surgical procedures, such as nerve grafts, nerve transfers, or muscle transfers, may be considered for more severe injuries. In cases where the injury resulted from trauma, prompt medical attention is essential to achieve the best outcome.
Brachial Neuritis
Brachial neuritis, also known as Parsonage-Turner syndrome, is a rare neurological disorder that affects the brachial plexus, the network of nerves controlling the muscles of the shoulder, arm, and hand. The cause of brachial neuritis is not always known, but it can be triggered by infections, surgeries, vaccinations, or even strenuous activities. Symptoms often have a sudden onset and can include: severe pain in the shoulder and arm, often described as sharp or burning; weakness in the affected muscles; muscle atrophy or wasting over time; and tingling or numbness. The hallmark of brachial neuritis is the pattern of pain followed by weakness, often after the pain starts to subside. Treatment typically involves: pain management with medications like NSAIDs, corticosteroids, or even narcotics in the early stages; physical therapy to maintain and improve muscle strength and flexibility; and in some cases, immunotherapy or other medications may be tried. Most people with brachial neuritis experience a significant recovery over time, although it can take months to years. The majority regain most if not all of their muscle strength and function, but some may have residual weakness or other symptoms.
Shingles in the Arm
Shingles, medically known as herpes zoster, is a viral infection caused by the reactivation of the varicella-zoster virus — the same virus that causes chickenpox. After a person recovers from chickenpox, the virus remains dormant in the nerve roots. Later in life, it can reactivate and cause shingles. While shingles can occur anywhere on the body, when it affects the arm, it usually follows a specific dermatome or nerve pathway. Symptoms of shingles in the arm include: a painful rash that usually appears as a stripe of blisters wrapping around one side of the arm; burning, tingling, or numbness before the rash appears; sensitivity to touch; fever, headache, and fatigue; and itching. Complications can include: postherpetic neuralgia - chronic pain in the affected area that can last for months or even years after the rash has cleared; eye complications - if shingles affects the face and is near the eye, it can lead to vision problems; skin infections - if the blisters are not treated properly. Treatment typically involves: antiviral medications to reduce the severity and duration of the symptoms; pain medications to manage the discomfort; topical agents like calamine lotion to soothe itching. Early treatment is crucial in reducing the severity of the disease and preventing complications. The best prevention for shingles is the shingles vaccine, recommended for older adults and those with certain risk factors.
Thoracic outlet syndrome
Thoracic outlet syndrome (TOS) is a group of disorders that occur when the blood vessels or nerves in the space between the collarbone (clavicle) and the first rib (thoracic outlet) become compressed. This can cause pain in the shoulders and neck and numbness in the fingers. The cause of the compression can vary, and thus, TOS is typically categorized into different types: (1) Neurogenic TOS - caused by compression of the brachial plexus, which is responsible for conveying nerve signals from the spine to the shoulder, arm, and hand; (2) Vascular TOS - caused by compression of one or more veins or arteries beneath the clavicle; and (3) Nonspecific TOS - its exact cause isn't known, and it's diagnosed when the pain is present but the cause can't be determined. Common symptoms of TOS include: pain in the neck, shoulder, and arm; numbness or tingling in the fingers; weakness of the arm or hand; and swelling or discoloration in the case of vascular TOS. Causes of TOS can include physical trauma (like a car accident), repetitive injuries from job- or sports-related activities, certain anatomical defects (like having an extra rib), and pregnancy (due to the body changes and posture). Treatment for TOS depends on the type and severity and can include: physical therapy to strengthen the shoulder muscles; pain-relief measures, such as medications or heat; and clavicle support devices. In severe cases, surgical intervention might be required to relieve the compression.
Elbow Arthritis
Elbow arthritis refers to the degeneration of the cartilage in the elbow joint, leading to inflammation, pain, and reduced mobility. The elbow is less commonly affected by arthritis compared to other joints, like the knee or hip, but it can still have a significant impact on daily activities when it occurs. There are two main types of elbow arthritis: (1) Osteoarthritis (OA) - this is a wear-and-tear form of arthritis. In the elbow, OA might develop after an injury like a fracture or dislocation that damages the cartilage. (2) Rheumatoid Arthritis (RA) - this is an autoimmune disease that can affect multiple joints, including the elbow. It causes the immune system to attack the lining of the joints, leading to inflammation and joint damage. Symptoms of elbow arthritis include: pain and stiffness in the elbow, especially in the morning or after periods of inactivity; swelling around the joint; a grinding or crunching sensation during movement; and reduced range of motion. Treatment options for elbow arthritis include: pain relievers and anti-inflammatory medications; physical therapy to maintain or improve joint mobility and strength; and corticosteroid injections to reduce inflammation. In severe cases where conservative treatments don't provide relief, surgical options like joint replacement or joint fusion might be considered.
Tennis Elbow
Tennis elbow, medically termed lateral epicondylitis, is a common overuse injury affecting the tendons that anchor the forearm muscles to the outer part of the elbow. Despite its name, tennis elbow isn't limited to tennis players. It can affect anyone who repeatedly stresses the wrist or forearm. Causes: overuse of the forearm muscles, especially with repetitive activities and activities that involve gripping or rotating the arm, like using tools, painting, or of course, playing racquet sports. Symptoms: pain and tenderness on the outside of the elbow; stiffness in the elbow, especially in the morning; weakness in the forearm; and pain exacerbated by gripping objects or shaking hands. Treatment: resting and avoiding activities that trigger pain; application of ice to reduce inflammation; over-the-counter pain relievers, such as NSAIDs; physical therapy to stretch and strengthen the muscles; bracing or using a forearm strap to offload the stressed tendons; and corticosteroid injections for severe pain. In rare cases where conservative treatments fail, surgery might be considered. Prevention includes warming up before physical activity, strengthening forearm muscles, and using proper equipment and techniques in sports and work-related activities.
Golfers Elbow
Golfer's elbow, or medial epicondylitis, is an overuse injury similar to tennis elbow but affects the tendons on the inside (medial side) of the elbow rather than the outside. These tendons connect the forearm muscles to the bony bump on the inner side of the elbow. While it's named after the sport that is a common cause, it can also result from any repetitive hand, wrist, or forearm motion. Causes: overuse of the forearm muscles and tendons, especially with repetitive gripping, flexing, or rotating movements and activities such as golfing, throwing sports, weightlifting, and repetitive occupational tasks. Symptoms: pain and tenderness on the inside of the elbow; stiffness and aching, especially in the morning; weakness in the hands and wrists; and numbness or tingling that may radiate into one or more fingers. Treatment: rest and avoidance of activities that aggravate the condition; application of ice to reduce inflammation; over-the-counter pain relievers, such as NSAIDs; physical therapy to help stretch and strengthen the muscles; bracing or using a forearm strap to reduce strain on the affected tendons; and corticosteroid injections for severe pain. In cases where conservative treatments don't provide adequate relief, surgery may be considered. As with tennis elbow, prevention involves warming up before activities, strengthening forearm muscles, and ensuring proper technique and equipment in sports and work tasks.
Carpal Tunnel Syndrome
Carpal Tunnel Syndrome is a common condition that results from compression of the median nerve as it travels through the carpal tunnel in the wrist. This tunnel is a narrow passageway formed by wrist bones on the bottom and a ligament on top. Causes: repetitive hand and wrist movements, especially with prolonged wrist flexion; wrist fractures or trauma; rheumatoid arthritis; diabetes; fluid retention during pregnancy; and thyroid disorders. Symptoms: tingling or numbness in the fingers, especially the thumb, index, middle, and ring fingers; pain in the wrist or hand, sometimes radiating up the arm; and weakness in the hand, leading to difficulty gripping objects. Symptoms often worsen at night. Treatment: wrist splinting, especially at night, to keep the wrist in a neutral position: nonsteroidal anti-inflammatory drugs (NSAIDs) to reduce inflammation and pain; corticosteroid injections for temporary relief from symptoms; physical or occupational therapy to improve hand and wrist function. If conservative treatments fail or the condition is severe, surgery (carpal tunnel release) may be recommended to relieve pressure on the median nerve. Prevention: taking frequent breaks when performing repetitive tasks; wrist exercises to strengthen the muscles; using ergonomic tools and equipment; and keeping the wrist in a neutral position as much as possible.
Cubital Tunnel Syndrome
Cubital tunnel syndrome is a condition caused by increased pressure on the ulnar nerve at the elbow. The ulnar nerve passes through the "cubital tunnel" located on the inner side of the elbow, often referred to as the "funny bone." When this nerve is compressed or irritated, it can lead to cubital tunnel syndrome. Causes: prolonged elbow flexion, such as talking on the phone or sleeping with the elbow bent; repeated bending and straightening of the elbow; direct pressure on the elbow for extended periods; previous elbow fractures or dislocations that affect the area where the nerve passes; and swelling or fluid build up in the elbow. Symptoms: numbness or tingling in the ring and little fingers; pain on the inside of the elbow; weakness in the hand; and difficulty with finger coordination (especially for actions like typing or buttoning a shirt). Treatment: avoiding activities that aggravate symptoms; using an elbow brace or splint at night to keep the elbow in a straight position; nonsteroidal anti-inflammatory drugs (NSAIDs) for pain relief; and nerve gliding exercises. If conservative treatments fail or if nerve compression is severe, surgery may be recommended to relieve the pressure on the nerve. Prevention: being mindful of keeping the elbow extended when possible; setting up an ergonomic workspace to reduce strain on the elbow; and taking breaks and stretching during repetitive tasks.
De Quervain's Tenosynovitis
De Quervain's tenosynovitis is a painful condition that affects the tendons on the thumb side of the wrist. It arises from inflammation of the synovial sheath surrounding the tendons, leading to pain and swelling in the area. Causes: repetitive hand or wrist movements, especially activities that involve pinching, grasping, or wringing; direct trauma to the thumb or wrist; rheumatoid arthritis; and fluid retention during pregnancy or postpartum. Symptoms: pain and swelling near the base of the thumb, especially when forming a fist, grasping objects, or turning the wrist; stiffness in the thumb and wrist; and a "sticking" or "stop-and-go" sensation when moving the thumb. Finkelstein's Test: A common clinical test for this condition involves making a fist with the thumb placed within the fingers, then bending the wrist towards the little finger. Pain during this maneuver is indicative of De Quervain's tenosynovitis. Treatment: immobilizing the thumb and wrist with a splint to allow the tendons to heal; over-the-counter pain relievers and anti-inflammatory medications; avoiding activities that exacerbate symptoms; and corticosteroid injections to reduce inflammation and pain. If conservative treatments are ineffective, surgery may be considered to release the sheath covering the tendons. Prevention: using ergonomic tools and techniques; taking breaks during repetitive tasks; and strengthening exercises for the thumb and wrist.
Fibromyalgia
Fibromyalgia is a chronic condition characterized by widespread musculoskeletal pain, fatigue, and tenderness in localized areas. The exact cause of fibromyalgia is unknown, but it is believed to involve a variety of genetic, environmental, and psychological factors. It's also thought that the condition affects the way the brain processes pain signals, amplifying painful sensations. Symptoms: (1) Widespread pain: This is often described as a constant dull ache that lasts for at least three months and occurs on both sides of the body and above and below the waist. (2) Fatigue: Even after sleeping for extended periods, individuals with fibromyalgia often wake up tired. (3) Cognitive difficulties: Commonly referred to as "fibro fog," this symptom involves memory problems, difficulty concentrating, and attention span issues. (4) Tender points: These are specific spots on the body that are painful to touch, such as the back of the head, upper chest, knees, and elbows. Other symptoms can include: sleep disturbances; morning stiffness; headaches; depression or anxiety; irritable bowel syndrome (IBS); and numbness or tingling in the hands and feet. Treatment: There's no cure for fibromyalgia, but treatment can help manage symptoms. Common treatments include: pain relievers - over-the-counter pain relievers and prescription medications; antidepressants - to help alleviate pain and fatigue; anti-seizure drugs - some of these medications can be effective in reducing certain fibromyalgia symptoms; physical therapy - to improve strength, flexibility, and stamina; occupational therapy - to suggest changes that can help reduce pain; counselling - to cope with the stressful impact of fibromyalgia; lifestyle changes and alternative therapies, such as exercise, relaxation techniques, and stress-reduction measures, can also help manage symptoms. The condition can be challenging to diagnose because its symptoms overlap with many other disorders. However, a proper diagnosis and multidisciplinary approach to management can help improve the quality of life for individuals with fibromyalgia.
Angina / Myocardial Infarction
Both angina and myocardial infarction (heart attack) are conditions related to the heart, specifically the coronary arteries that supply oxygen-rich blood to the heart muscle.
Angina (Angina Pectoris) is chest pain or discomfort that occurs when the heart muscle doesn't get enough oxygen-rich blood. It is typically caused by narrowed coronary arteries due to atherosclerosis (buildup of fatty deposits). Symptoms: pain or discomfort in the chest that can radiate to the arms, neck, jaw, or back. It may feel like pressure, squeezing, or fullness. There are different types of angina, including stable (predictable and occurs with exertion) and unstable (sudden and more severe). Treatment: medications to relax coronary arteries, reduce the workload on the heart, and prevent blood clots; lifestyle changes; and procedures like angioplasty or coronary artery bypass grafting (CABG) might also be recommended.
Myocardial Infarction (Heart Attack) occurs when blood flow to a part of the heart muscle becomes blocked, often due to a blood clot. If the blockage isn't treated promptly, the affected part of the heart muscle can begin to die. Causes: most commonly caused by atherosclerosis leading to the rupture of a coronary artery plaque, resulting in a blood clot. Symptoms: chest pain or discomfort; shortness of breath; nausea; lightheadedness; cold sweat; and pain radiating to the jaw, neck, or arms. Symptoms can be sudden and intense, or they might start slowly and intensify over hours. Treatment: immediate treatment is crucial. It includes medications to dissolve and prevent clots, reduce pain and strain on the heart, and stabilize heart rhythms. Procedures such as angioplasty (with stent placement) or CABG might be performed.
Angina is a symptom of an underlying problem, namely coronary heart disease, and it doesn't cause permanent damage to the heart muscle. In contrast, a heart attack indicates that a blockage has occurred, leading to damage or death of a part of the heart muscle. While angina serves as a warning sign of increased risk for a heart attack, a heart attack is a more severe event that requires immediate medical attention.
DVT in the Arm
Deep vein thrombosis (DVT) refers to the formation of a blood clot (thrombus) in a deep vein, usually in the legs. However, DVT can also occur in the arms, although it's less common. Causes: immobilization of the arm, such as after surgery or due to a cast; central venous catheters placed in the arm; trauma or injury to the arm; conditions that make blood more prone to clotting (hypercoagulable states), including certain genetic disorders, malignancies, and medications; and venous insufficiency or previous episodes of DVT. Symptoms: swelling of the affected arm or hand; pain or tenderness in the arm, often starting in the shoulder and moving down to the wrist; warmth in the area of the clot; red or bluish skin discoloration; and veins near the skin surface may become more visible. Treatment: (1) Anticoagulant medications (blood thinners)- these prevent the clot from getting larger and reduce the risk of developing more clots. Examples include heparin, warfarin, and newer anticoagulants like rivaroxaban or apixaban. (2) Thrombolytic therapy - in severe cases, medications that dissolve the clot may be administered. (3) Compression sleeves - these can reduce swelling and prevent post-thrombotic syndrome, a complication of DVT. (4) Filters - rarely, if someone can't take anticoagulants, a filter might be placed in the vena cava (the body's main vein) to catch clots and prevent them from reaching the lungs. Complications: pulmonary embolism (PE)- this life-threatening complication occurs if a blood clot breaks free, travels through the bloodstream, and lodges in the lungs; post-thrombotic syndrome; and chronic symptoms like pain, swelling, and skin discoloration in the affected arm. Prevention: early mobilization after surgery or injury; use of anticoagulant medications in high-risk situations; regular movement and exercise; and compression sleeves in high-risk individuals.







